ایمپلنتهای دندانی به عنوان یک روش مدرن دندانپزشکی برای داشتن لبخندی زیبا و طبیعی، معمولا ایمن و موثر هستند؛ اما بااینحال، مانند سایر روشهای دندانپزشکی، ممکن است همیشه کارآمد نباشد. برخی از عوامل میتوانند باعث شکست ایمپلنت شود؛ هرچند که این امر یک اتفاق غیر معمول است، اما در هرصورت میتواند باعث ناراحتی بیمار شود. در این مقاله از وبلاگ دکتر حسین گروهی قصد داریم به معرفی علل شکست ایمپلنت بپردازیم؛ اگرشماهم جزء افرادی هستید که به تازگی ایمپلنت کردهاند پیشنهاد میکنیم برای جلوگیری از چنین اتفاقی این مقاله را مطالعه کنید.
علائم شکست ایمپلنت دندانی
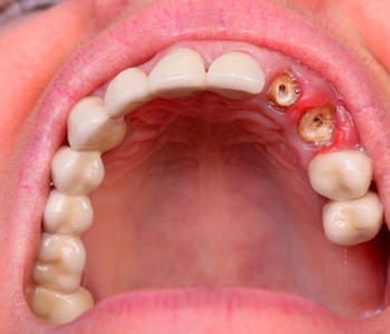
شکست ایمپلنت دندان زمانی اتفاق میافتد که ایمپلنتهای دندانی به طور کامل با استخوان فک و بافتهای اطراف آن هماهنگ نباشند. این موضوع میتواند به دلایل مختلفی اتفاق بیفتد و میتواند خطراتی برای سلامتی ایجاد کند که صرفا به ساختارهای دهانی محدود نمیشود.
شناخت علائم اولیه شکست ایمپلنت دندان بسیار مهم است؛ زیرا میتواند به جلوگیری از آسیب بیشتر و روشهای پرهزینهتر به شما کمک کند.
علائم زیر معمولا نشاندهنده شکست ایمپلنت هستند:
- مشکل در جویدن
- التهاب لثه
- عقب نشینی لثه
- تحریک و تورم
- شل شدن ایمپلنت یا دندان جایگزین شده
- درد یا ناراحتی شدید
- و…
زمانی که شکست ایمپلنت اتفاق افتاده باشد، برداشتن ایمپلنتهای آسیب دیده ممکن است برای جلوگیری از عوارض بیشتر مانند عفونت و تحلیل استخوان ضروری باشد.
علت شکست ایمپلنت
شکست ایمپلنت به احتمال زیاد نتیجه یک فرآیند پیچیده است، مانند ضربه در حین جراحی، رشد استخوان، کمیت یا کیفیت استخوان دندان فک پایین. در ادامه هرکدام از این عللها را به صورت جداگانه بررسی خواهیم کرد.
ناهماهنگی ایمپلنت
یکی از چالش برانگیزترین زمینههای جراحی ایمپلنت دندان، اطمینان از احاطه کامل ایمپلنت توسط استخوانهای دندان است. موقعیت مطلوب در استخوان همیشه موقعیت ایدهآل برای ایمپلنت نیست.
در نتیجه، ایمپلنت و استخوان ممکن است نامرتب شوند. هنگامی که ایمپلنت با استخوان هماهنگ نمیشود، تاجها یا دندان جایگزین ممکن است غیرطبیعی به نظر برسند، لثهها عقب نشینی کنند و ایمپلنت در اطراف لثه قابل مشاهده باشد.
آسیب عصبی
بااینکه این اتفاق نادر به نظر میرسد؛ اما بااینحال زمانی که ایمپلنت نزدیک عصب دندان باشد ممکن است شکسته شود. در هرصورت یک دندانپزشک ماهر باید تمامی عوامل تاثیرگذار روی درمان را بررسی کند.
بی حسی، درد طولانی مدت یا احساس گزگز در اطراف لثهها، لب، گونهها یا زبان برخی از علائم آسیب عصبی ایمپلنت هستند. درنظر داشته باشید که
فناوری ایمپلنت
به دلیل پیشرفتهای فناوری در ایمپلنت، امروزه کمتر شاهد شکست ایمپلنت هستیم؛ اما بااینحال بااینکه از فلز ساخته شده در برخی از موارد ممکن است مرغوبیت کافی را نداشته باشد. قبل از هرگونه اقدامی باید مطمئن شوید که دندانپزشک شما از موادمرغوب استفاده میکند و ایمپلنت موردنظر دوام و استحکام کافی را دارد.
واکنش آلرژیک یا پس زدن جسم خارجی
ایمپلنت بهعنوان یک جسم خارجی وارد بدن شما میشود و در برخی از موارد ممکن است این جسم را پس بزند. همچنین ممکن است به ایمپلنت آلرژی داشته باشید. باید پزشک شما قبل از هر اقدامی این موضوع را بررسی کند.
قالبگیری ضعیف ایمپلنت
زمانی که تصمیم میگیرید ایمپلنت انجام دهید، پزشک شما باید از دندانهایتان قالبگیری کرده و به آزمایشگاه ارسال کند. اگر این قالبها دقیق نباشد، نه تنها ناهماهنگی ظریف میتواند باعث ایجاد فاصله بین تاج و لثه شود، بلکه عملکرد دندانها راهم به خطر میاندازد.
درچنین وضعیتی باکتریها به راحتی به لثه وارد شده و در نتیجه ممکن است مجبور باشید ایمپلنت را تعویض کنید. در نظر داشته باشید که باکتریهای موجود در دهان میتوانند باعث شکست ایمپلنت شوند و ممکن است نیاز به درمان اضافی یا برداشتن ایمپلنت داشته باشند. پلاکها و باکتریهای موجود در سطح ایمپلنت نیز ممکن است زیر خط لثه نفوذ کنند. این موضوع میتواند منجر به بیماری لثه (بیماری پریودنتال) شود.
حجم ناکافی استخوان
ایمپلنت دندانی به ساختار استخوانی کافی برای محکم نگه داشتن آن در جای خود نیاز دارد. اگر استخوان دندان با کیفیت نباشد ، ایمپلنت ممکن است به درستی با استخوان ترکیب نشود و پایداری کمتری داشته باشد و در نهایت در برابر شکست آسیب پذیرتر است.
وجود شرایط پزشکی
برخی از شرایط پزشکی عوامل خطر برای شکست ایمپلنت هستند. این شرایط شامل بیماریهای خود ایمنی، دیابت کنترل نشده و بیماریهای قلبی عروقی است. چنین بیماریهایی در روند بهبودی اختلال ایجاد میکنند و بهبودی را طولانی خواهند کرد.
التهاب طولانیمدت لثه یا دندان
اگر بیمار عفونت درمان نشده داشته باشد، میتواند باعث التهاب در اطراف محل ایمپلنت شده، ایمپلنت را ضعیف کرده و منجر به شکست شود.
پوکی استخوان یا آتروفی استخوان فک
بیماران مبتلا به پوکی استخوان ممکن است کاندیدای مناسبی برای ایمپلنت دندان نباشند. چنین افرادی فاقد ساختار استخوانی کافی در فک برای حمایت از ایمپلنت هستند.
مطالب پیشنهادی: لمینت دندان برای چه کسانی توصیه نمیشود؟
میزان موفقیت ایمپلنتهای دندانی چقدر است؟
میزان موفقیت ایمپلنت دندان بسته به محل قرارگیری ایمپلنت در فک متفاوت است؛ اما به طور متوسط، ایمپلنتهای دندانی تا ۹۸ درصد موفقیت دارند. طول عمر ایمپلنتهای دندانی ممکن است با مراقبت مناسب افزایش یابد.
علاوه بر این، طبق مطالعات انجام شده، ایمپلنتهای فک پایین دارای میزان موفقیت پنج ساله تقریبا 95 درصد و ایمپلنتهای فک بالا دارای میزان موفقیت پنج ساله تقریبا 90 درصد هستند. از آنجایی که فک بالا تراکم کمتری نسبت به فک پایین دارد، میزان موفقیت کاشت فک بالا کمی کمتر است.
درهرصورت برای جلوگیری از شکست ایمپلنت بهتر است مراقبتهای زیر را انجام دهید:
- بهتر است هر شش ماه یکبار حتما به پزشک خود مراجعه کنید.
- به صورت مرتب مسواک بزنید و از دهانشویه و نخ دندان استفاده کنید.
- سعی کنید کلسیم یا غذاهای حاوی کلسیم مانند شیر، کلم بروکلی، پرتغال و پنیر بیشتر در رژیم غذایی خود داشته باشید.
- سعی کنید عادتهای که به دندان شما آسیب میرساند را ترک کنید (مانند خوردن یخ یا آب نبات)
چگونه از شکست ایمپلنت جلوگیری کنیم؟
بااینکه در بالا در مورد علل شایع شکست ایمپلنت صحبت کردیم؛ بااینحال رعایت برخی از عوامل در میزان موفقیت ایمپلنتهای دندانی تاثیرگذار هستند.
بهداشت مناسب دهان و دندان
یکی از راههای محدود کردن خطر عفونت یا حتی شکست ایمپلنت، رعایت بهداشت دهان و دندان است. باید بعد از انجام ایمپلنت بهداشت دهان و دندان خود را رعایت کنید. باکتریها باعث عفونت میشوند و مسواک زدن و و نخ دندان کشیدن به صورت مرتب میتواند این خطر عفونتها را به حداقل برساند.
ترک سیگار
یکی دیگر از عواملی که باعث شکست ایمپلنت دندان میشود، ترک سیگار است. ترک سیگار راه خوبی برای جلوگیری از تحریک لثه و شکست ایمپلنت است. برای افزایش طول عمر ایمپلنتهای دندانی خود، از سیکار کشیدن خودداری کنید.
مطلب پیشنهادی: سرطان دهان | سرطان دهان و لثه | علائم، علل و درمان
داشتن رژیم غذایی سالم
به بیماران توصیه میشود پس از درمان ایمپلنت دندانی به طور موقت رژیم غذایی خود را تغییر دهند. مصرف غذاهای سفت یا جویدنی میتواند دردناک باشد و حتی میتواند روند بهبودی شما را کند کند و به برشهای لثه آسیب برساند. همگی اینها میتوانند منجر به شکست ایمپلنت دندانی شوند. توصیه میشود بیماران در 24 ساعت اول پس از ایمپلنت دندانی، باید مایعات مصرف کنند و بعد از آن هم تا یک هفته غذاهای نرم مصرف کنند.
رعایت دستورالعملهای مراقبتهای بعد از ایمپلنت
همانطور که میدانید عفونت خطر قابلتوجهی برای هر عمل جراحی است. در ایمپلنت هم عفونت باعث التهاب بافت میشود. ممکن است پزشک شما یک آنتی بیوتیک خوراکی یا شستشوی ضد باکتری برای کاهش خطر عفونت برای شما تجویز شود. برای کاهش خطر عفونت و شکست ایمپلنت دندانی، بیماران باید دستورالعملهای توصیه شده را رعایت کنند.
آیا شکست ایمپلنت دندان با عوارضی همراه است؟
شکست ایمپلنت دندان میتواند منجر به عوارض متعددی شود که پیامدهای جدی برای سلامت دهان و دندان دارد. این عوارض حتی میتواند دندانهای مجاور و بافتهای حمایتکننده را تحت تاثیر قرار دهد. بنابراین باید در زمان شسکت ایمپلنت سریعا به پزشک مراجعه کنید.
از بین رفتن استخوان دندان
اگر ایمپلنت دندان جایگزین نشود، استخوان اطراف محل ایمپلنت به دلیل عدم تحریک ناشی از جویدن و گاز گرفتن میتواند خراب شود. این موضوع میتواند منجر به از دست دادن استخوان دندان شود.
عفونت
ایمپلنت دندان درمان نشده میتواند باعث عفونت باکتریایی در بافت لثه و استخوان اطراف شود. عفونت باعث درد و تورم خواهد شد.
آسیب به دندانهای مجاور
اگر ایمپلنت دندانی شکسته شود، دندانهای مجاور ممکن است به دلیل ناهماهنگی یا نیروی بیش از حد آسیب ببینند.
آسیب عصبی
در برخی موارد، ایمپلنت دندان میتواند باعث آسیب به اعصاب دهان شود و منجر به درد و بیحسی شود.
تغییرات فک
شکست ایمپلنت دندان میتواند باعث تغییر در شکل فک به دلیل زوال استخوان شود که جویدن یا هضم غذا را برای شما دشوار میکند.
چگونه میتوان شکست ایمپلنت را درمان کرد؟
اگر عفونت باعث این اتفاق شده باشد، پزشک بدون برداشتن ایمپلنتها میتواند عفونت را درمان کند. هرچقدر که زودتر مشکل تشخیص داده شود، سریعتر میتوان یک راهکار درمانی درست برای حل مشکل درنظر گرفت. آسیب به استخوانها اطراف ایمپلنت هم با برداشتن استخوان و سپس پیوند آن قابلحل است. اصلاح ایمپلنتها ناموفق ممکن است یک فرآیند سخت و پیچیده به نظر برسد؛ بااینحال مهم است که از همان ابتدا برای انجام ایمپلنت یک پزشک معتبر و ماهر انتخاب کنید.
سخن پایانی
درحالی که ایمپلنت دندان یک روش نسبتا موفق است، اما معمولا در اکثر مواقع احتمال شکست 5 تا 10 درصد وجود دارد. با وجود رعایت دستورالعملهای توصیه شده از جانب پزشک یا حتی داشتن یک سبک زندگی سالم، عوارض ایمپلنت همچنان ممکن است رخ دهد. برای کاهش خطر شکست، بهداشت دهان و دندان را رعایت کنید، رژیم غذایی درست داشته باشید و برای معاینات و تمیز کردن منظم به دندانپزشک خود مراجعه کنید.
اگر به دنبال ایمپلنت دندان در کرمان هستید، پیشنهاد ما به شما دکتر حسین گروهی است. دکتر گروهی به عنوان بهترین دندانپزشک کرمان، تمامی خدمات ایمپلنت دندان، روکش، جراحی، کشیدن، جرمگیری، درمان ریشه و… را به بهترین و عالیترین روش برای بیماران انجام میدهد.
شماهم برای دریافت این خدمات میتوانید با مراجعه به مطب ایشان بهترین انتخاب را داشته باشید. برای دریافت مشاوره و معاینه اولیه میتوانید به مطب آقای دکتر گروهی در کرمان، بلوار جمهوری، حدفاصل امام جمعه و حمزه، بعد از بانک آینده، ساختمان آتیه، طبقه 4 مراجعه کنید.



