در برخی از موارد به دلائل مختلف مانند شکستگی یا پوسیدگی دندانها نیاز به روکش دندان داریم. روکشهای دندانی در اصل راه حلی برای بازیابی ظاهر دندان آسیبدیده هستند و به ترمیم دندانها و بهبود لبخند شما کمک میکنند.
اما باید کدام روکش را انتخاب کنیم؟ ممکن است برای شما هم سوال ایجاد شود که بهترین و مناسبترین روکش دندان کدام گزینه است؟ در این مقاله از وب سایت دکتر حسین گروهی، بهترین دندانپزشک در کرمان، با ما همراه باشید تا راهنمای جامعی از انتخاب بهترین روکش دندان در اختیار شما قرار دهیم. اگر شماهم به روکش دندان نیاز دارید، با این راهنمای جامع میتوانید درک درستی از انواع روکش دندان داشته باشید و متناسبترین گزینه را انتخاب کنید.
در چه مواردی به روکشهای دندانی نیاز داریم؟
وقتی دندانپزشک شما پیشنهاد میدهد که به روکش دندان نیاز دارید، ممکن است این سوال به ذهن شما خطور کند که چه نوع روکش دندانی برای من بهترین است؟ پس از معاینه کامل در اولین مراجعه به مطب، دندانپزشک مورد خاص را ارزیابی کرده و شما را در مورد درمانهای احتمالی راهنمایی میکند. به طور کلی، برخی از شایعترین دلایل استفاده از روکش دندان عبارتند از:
- دندان ضعیف شده پس از پوسیدگی یا حفره شدید ( آیا میدانستید یکی از عوامل پوسیدگی دندان، تاثیر هورمون های جنسی بر سلامت دندان است! )
- برای دندانهای شکسته (هنگامی که دندان ترک میخورد یا میشکند، روکش میتواند از شکستگی بیشتر جلوگیری کند و عملکرد دندان را حفظ کند.)
- برای پوشاندن ایمپلنت
- برای جایگزینی یک پرکردگی بزرگ در دندان
- دندان طبیعی آسیب دیده یا ترک خورده
- دندانی که تحت درمان ریشه قرار گرفته است (به خصوص دندانهای خلفی)
- برای اهداف زیبایی: برای دستیابی به لبخندی زیباتر با تراز کردن اندازه، شکل و رنگ دندانهایتان.
مطلب پیشنهادی : چکار کنیم به دندان درد در سفر مبتلا نشویم؟ | درد پوسیدگی دندان هنگام سفر
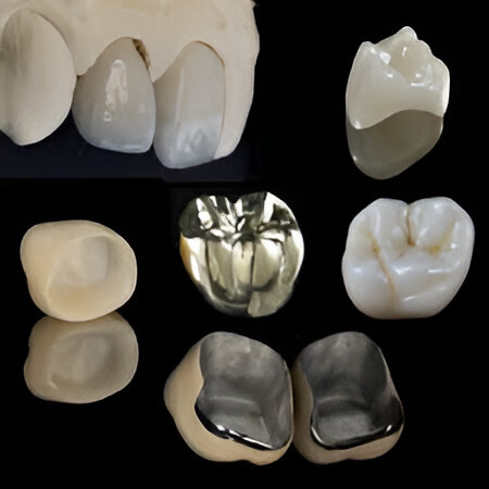
مقایسه انواع روکش دندان
در برخی از موارد برای ما مهم است که به دنبال شناخت بهترین روکش دندان باشیم؛ برای انتخاب بهترین و مناسبترین روکش دندان باید انواع این روکش را بشناسید که در ادامه اطلاعات کاملی در این زمینه در اختیار شما قرار میدهیم. امروزه انواع مختلفی از روکشها وجود دارد که بسته به مواد، هزینه، روشها و نیازهای بیمار متفاوت هستند.
-
روکش فلزی (طلا، نیکل و کروم)
وقتی که صحبت از انتخاب بهترین روکش دندان میشود؛ شاید تصور خیلی از افراد این باشد که روکشهای فلزی بهترین انتخاب هستند؛ باید بگوییم که بله. درست است. روکشهای فلزی در واقع ترکیبی از مس و سایر فلزات مانند نیکل یا کروم هستند که در این میان مزیت اصلی روکشهای طلا، استحکام و دوام آنهاست و مقاومت بالایی در برابر فشارهای وارد شده به دندان دارند.
روکشهای طلا نوع دیگری از روکش فلزی دندان هستند که معمولا برای دندانهای آسیاب استفاده میشوند. روکشهای طلا از آلیاژ طلا تشکیل شدهاند و بسیار بادوام هستند و محافظت عالی برای دندان فراهم میکنند، اما به اندازه سایر انواع روکشها طبیعی به نظر نمیرسند. برای ترمیمهای دندانهای عقب و بسته به نیاز هر بیمار برخی از دندانپزشکان ممکن است روکش طلا را به عنوان گزینه ترجیحی پیشنهاد کنند. با این حال، روکشهای طلا امروزه به دلیل رنگ و زیباییشناسی، انتخاب چندان محبوبی نیستند.
مزایای اصلی روکشهای فلزی:
- این نوع روکشها قوی و بسیار مقاوم هستند.
- در صورت مراقبت صحیح، مدت زیادی دوام میآورند.
- برای این نوع روکش بخش کمتری از دندان طبیعی شما نیاز به تراشیدن دارد.
- این روکش برای ترمیمهای خلفی (دندانهای عقب)، به ویژه دندانهای آسیاب دوم، ایدهآل هستند.
معایب اصلی روکشهای فلزی:
- زیبایی ضعیفی دارند و خیلی کم شبیه به دندانهای اصلی به نظر میرسند.
- روکشهای آلیاژ طلا میتوانند برخی افراد را تحت تأثیر قرار دهند و عوارض جانبی مانند واکنشهای آلرژیک یا تورم ایجاد کنند.
-
روکش سرامیکی (چینی) یا پرسلن
این نوع روکش بدونشک محبوبترین نوع روکش مورد استفاده است که کاملا از جنس پرسلن ساخته شدهاند. در برخی جنس آن از موارد ترکیبی از فلز و سرامیک است که متناسب با شکل دندان ساخته میشود. روکشهای پرسلن همچنین بسیار با دوام هستند و میتوانند سالها ماندگاری داشته باشند و همین موضوع این نوع روکشها را به گزینهای عالی برای افرادی تبدیل میکند که به دنبال ترمیم دندان طولانیمدت هستند. این نوع روکشها میتوانند به صورت سفارشی رنگ شوند تا با رنگ دندانهای طبیعی بیمار مطابقت داشته باشند.
مزایای روکش پرسلن:
- روکشهای پرسلن یا سرامیکی بهترین و طبیعیترین ظاهر را دارند.
- این نوع روکشها از نظر شکل، اندازه و رنگ با دندانهای اطراف شما مطابقت دارند.
- بهترین گزینه برای ترمیم دندانهای جلویی هستند.
- روکش سرامیکی سازگار با محیط زیست است: به این معنی که از هیچ فلزی استفاده نمیشود، بنابراین عاری از مواد سمی هستند.
معایب روکش پرسلن:
- روکش پرسلن به اندازه روکشهای فلزی محکم نیستند.
- روکشهای پرسلن میتوانند مدت زیادی دوام بیاورند، اما باید به خوبی از آنها مراقبت شود.
- بیمارانی که از دندان قروچه رنج میبرند باید روکشهای طلایی PFM یا همان روکش متا سرامیک را انتخاب کنند.
- این نوع روکش ممکن است گرانتر از سایر انواع روکشها، مانند روکشهای فلزی، باشند.
-
روکش متال سرامیک (PFM)
روکشهای متال سرامیک یا (PFM) یکی دیگر از انواع پرکاربرد روکشهای دندانی هستند که هم استحکام و هم زیبایی قابل توجهی دارند. استحکام این نوع روکش به دلیل ساختار فلزی موجود در آن است و زیبایی آن هم به دلیل روکش پرسلن موجود روی این نوع روکش است. این نوع روکش کاملا از مواد سرامیکی تشکیل شده است و هیچ فلزی ندارد. روکشهای تمام سرامیکی ظاهری طبیعیتر از روکشهای پرسلن دارند؛ زیرا مواد سرامیکی را میتوان رنگ کرد تا با رنگ دندانهای طبیعی بیمار بیشتر مطابقت داشته باشد. با این حال، این نوع روکش به اندازه روکش پرسلن بادوام نیست و نیاز به تعویض زودهنگام دارد.
مزایای روکشهای PFM:
- این روکشها زیبایی و دوام بسیار خوبی دارند.
- این نوع روکش از همه روکشهای پرسلن ارزانتر است.
معایب روکش متال سرامیک:
- فلز موجود در این روکشها ممکن است باعث ایجاد یک خط خاکستری در خط لثه شود. این روکش ممکن است ظاهر زیبایی ۱۰۰٪ که همه روکشهای پرسلن ارائه میدهند را نداشته باشد.
- برای افرادی که دندانهای خود را به هم میفشارند یا دندان قروچه دارند، این نوع روکش ممکن است راحتتر ساییده شود.
-
روکش زیرکونیا
زیرکونیوم مادهای نسبتا جدید در صنعت دندانپزشکی است که استحکام فلز را با زیبایی روکشهای پرسلن ترکیب میکند. روکشهای زیرکونیا بسیار شفاف هستند و همین موضوع این روکشها را به انتخاب محبوبتری در بین افراد تبدیل کرده است.
مزایای روکشهای زیرکونیا:
- روکشهای زیرکونیا زیبایی فوقالعادهای ارائه میدهند.
- بسیار محکم و بادوام هستند (احتمال لبپر شدن یا شکستن کمتری دارند).
- فرآیند نصب این نوع روکش روی دندان شما نسبت به سایر انواع روکشها نیاز به زمان کمتری دارد؛ زیرا زیرکونیا را میتوان در همان مطب دندانپزشکی برش و شکل داد و نیازی به ارسال روکشها به آزمایشگاه دندانپزشکی نیست.
- روکشهای زیرکونیا به دلیل استحکامشان کمتر ساییده میشوند.
- این روکشها سازگار با محیط زیست هستند و به عنوان روکشهای بدون فلز، احتمالا باعث واکنشهای آلرژیک نمیشوند.
معایب روکش زیرکونیا:
- استحکام این نوع روکش میتواند باعث شود دندانهایی که روی آنها قرار میگیرند به راحتی ساییده شوند.
- قیمت بالاتری نسبت به سایر انواع روکشها دارد.
-
روکشهای لیتیوم دی سیلیکات یا E-MAX
جدیدترین نوع روکش در دندانپزشکی امروز با نام E-Max شناخته میشود. این روکش، نوعی روکش تمام سرامیکی است که از لیتیوم دی سیلیکات ساخته شده و بسیار سبک و نازک هست. روکش لیتیوم دی سیلیکات معمولا به دلیل استحکام بالا، زیبایی و طول عمر مناسب بهترین نوع روکش موجود در بازار هستند.
مزایای روکشهای E-max:
- ظاهر زیبایی فوقالعاده دارند.
- بسیار بادوام و بسیار قوی هستند.
- این نوع روکشها انتخابی عالی برای دندانهای جلو و عقب هستند.
معایب روکشهای E-Max:
- بدونشک نسبت به سایر انواع روکش هزینه بسیار بالاتری دارند.
- برخی از متخصصان دندانپزشکی گزارش دادهاند که استفاده از E-Max برای دندانهای خلفی، به خصوص هنگام انجام چندین واحد، با شکست مواجه شده است.
-
روکش رزینی (کامپوزیت)
این نوع روکش جایگزینی مناسب برای روکشهای فلزی و سرامیکی سنتی هستند که ترمیمی با ظاهری طبیعیتر ارائه میدهند و حتی از نظر قیمت هم هزینه پایینتری نسبت به سایر انواع روکش دارند. این روکش از یک ماده کامپوزیتی مطابق با ساختار دندان بیمار ساخته میشود. روکشهای کامپوزیت رزین که بهعنوان ونیرهای کامپوزیتی هم شناخته میشوند؛ گزینههای متنوعی برای ترمیم دندانهای آسیبدیده هستند. علاوه بر اینکه از نظر زیباییشناسی نسبت به سایر انواع روکشها ظاهر بهتری دارند و اغلب به کار دندانپزشکی کمتری نیاز دارند.
مطلب پیشنهادی : درمان شکاف های دندان با ونیر کامپوزیت
مزایا روکش کامپوزیت:
- هزینه کمتری نسبت به سایر روکشها دارد.
معایب روکش کامپوزیت:
- این نوع روکش به اندازه روکشهای فلزی یا سرامیکی قوی نیست و ممکن است در برابر فشار جویدن غذاهای چسبنده مقاومت نکند.
هزینه روکشهای دندان چقدر است؟
حالا که شناخت از انواع روکش دندان دارید، مطمئنا میخواهید هزینه انواع مختلف روکشهای دندان را بدانید. باید بگوییم که قیمت روکش دندان به فاکتورهای مختلفی مانند جنس روکش، تعداد روکش، دندانپزشک موردنظر و کلینیک بستگی دارد. در برخی از موارد شما باید تعداد بیشتری روکش برای دندانهایتان استفاده کنید که بالطبع باید هزینه بیشتری هم بدهید؛ از طرفی بخواهید روکشهای زیرکونیا یا طلا انتخاب کنید که قیمت بالاتری دارند در حالی که روکشهای فلزی معمولی از قیمت پایینتری برخوردار هستند.
حتی در برخی از موارد دندانپزشکان باید جراحی لثه یا جراحی جزئی لثه انجام دهند که این موضوع هم میتواند روی هزینههای پرداختی شما تاثیر داشته باشد. بهتر است قبل از هر اقدامی در مورد هزینههای خود از دندانپزشک موردنظر سوال بپرسید.
چگونه بهترین روکش دندان را انتخاب کنیم؟
روکش دندان یک درمان ترمیمی طولانی مدت است. این بدان معناست که شما سالها یک روکش در دهان خود خواهید داشت و بدونشک میخواهید این کار به حرفهایترین و ماهرانهترین روش انجام شود.
بنابراین، در صورت امکان، هنگام بررسی انواع روکش دندان و هزینه آن، سعی کنید بدون تجزیه و تحلیل گزینههای موجود، مستقیما به دندانپزشک ارزانتر مراجعه نکنید. قبل از تصمیمگیری، باید همه عوامل را در نظر بگیرید.
شاید بهتر باشد کمی بیشتر هزینه کنید و مطمئن شوید که نتایج کار خوب و ماندگار خواهد بود. انتخاب فقط گزینههای ارزان ممکن است منجر به درمانهای بیکیفیت شود که به نوبه خود به معنای پول بیشتر، زمان بیشتر و ناراحتی بیشتر در آینده خواهد بود. بهتر است قبل از هر اقدامی با دندانپزشک مربوطه مشورت داشته باشید تا وضعیت دهان و دندان شما را بررسی کند و بهترین نوع روکش را به شما پیشنهاد دهد.
با درنظر گرفتن موارد زیر میتوانید مناسبترین روکش دندان را انتخاب کنید:
- مهم است که نیازهای شخصی خود را درنظر بگیرید؛ روکشهای سرامیکی یا زیرکونیا انتخاب خوبی برای شما هستند؛ درصورتی که به دنبال زیبایی باشید.
- همچنین مهم است که به قیمت و بودجه انواع روکش دندان قبل از انتخاب دقت کنید. روکشهای فلزی عموما ارزانتر هستند، در حالی که روکشهای سرامیکی میتوانند گرانتر باشند.
- یکی دیگر از نکاتی که باید به آن دقت داشته باشید، دوام و طول عمر روکش است. روکشهای زیرکونیا دوام و عمر بالاتری دارند؛ درحالی که روکشهای کامپوزیتی دوام کمتری دارند و باید زودتر تعویض شوند.
- برای افرادی که دچار حساسیت به فلز هستند، بهتر است روکشهای سرامیکی یا زیرکونیا را انتخاب کنند.
- اگر دندان قروچه دارید، بهتر است روکشهای بادوام را انتخاب کنید.
- برای انتخاب روکش دندانهای جلویی زیبایی ظاهری باید بیشتر از هر فاکتور دیگری برای شما الویت داشته باشد، درحالی که برای روکش دندانهای عقبی دوام و استحکام روکش از هر موضوعی مهمتر است.
- علاوه بر این موارد، روکشها ممکن است راه حل مناسبی برای همه بیماران نباشند و در برخی موارد، سایر درمانها مانند کامپوزیت دندان گزینه مناسبتر باشند.
مراقبت و نگهداری پس از روکش دندان
مراقبت و نگهداری مناسب پس از روکش برای اطمینان از طول عمر روکشهای دندان بسیار مهم است. با رعایت موارد زیر پس از نصب روکش میتوانید از روکشهای خود مدت زمان بیشتری نگهداری کنید.
- بهداشت دهان و دندان: رعایت بهداشت دهان و دندان از جمله مسواک زدن و نخ دندان کشیدن منظم، برای جلوگیری از تجمع پلاک و بیماری لثه در اطراف روکش ضروری است.
- داشتن رژیم غذایی مناسب: از جویدن اشیاء سخت یا غذاهای خیلی چسبناک خودداری کنید تا از آسیب به روکش جلوگیری شود. علاوه بر این، مصرف غذاها و نوشیدنیهای شیرین را به حداقل برسانید تا از پوسیدگی جلوگیری شود.
- معاینه منظم دندانپزشکی: برای نظارت بر وضعیت روکش خود و رسیدگی سریع به هرگونه مشکل، معاینات منظم دندانپزشکی را حتما انجام دهید.
نکته : عصبکشی و روکش دندان دو درمان مجزا هستند، اما در بسیاری از موارد، روکش پس از عصبکشی برای حفظ دندان ضروری است. دندانپزشک با توجه به شرایط دندان، تصمیم میگیرد که آیا روکش لازم است یا خیر. شما میتوانید علاوه بر مراجعه به دکتر گروهی جهت انجام روکش دندان، از خدمات ایشان در عصب کشی دندان در کرمان نیز بهرهمند شوید.
مطلب پیشنهادی : پوسیده شدن دندان زیر لمینت [علل و راه های پیشگیری]
سخن پایانی
باتوجه به اینکه روکش دندان انواع مختلفی دارد، انتخاب بهترین روکش دندان برای بسیاری از ما مهم است. برای این انتخاب باید به طول عمر روکش، ظاهر و هزینه روکش دندان توجه کنید. همچنین باید حساسیت دندانی خود را درنظر بگیرید؛ زیرا برخی از روکشهای دندانی بیشتر باعث حساسیت میشود. بهتر است که از یک پزشک و دندانپزشک ماهر مشورت بگیرید که بتواند شما را در طول فرآیند درمان راهنمایی کند و در انتخاب مناسبترین روکش متناسب با نیازهای شما کمک کند. دندانپزشک سلامت دندانهای شما را ارزیابی میکند، به سوالات و اهداف درمانی شما پاسخ میدهد و مناسبترین نوع روکش را متناسب با نیازهای منحصربهفرد شما پیشنهاد میدهد.
برای روکش دندان میتوانید دکتر حسین گروهی را انتخاب کنید. ایشان بهعنوان دندانپزشک متخصص در کرمان، با تجربه و مهارت بالا در انجام انواع درمانهای دندانپزشکی از جمله روکش دندان، خدمات حرفهای روکش دندان در کرمان را با استفاده از بهترین مواد و تکنیکها، با روشی دقیق و ایمن انجام میدهند. برای ثبت نوبت فقط کافیست با شماره 03432443299 تماس داشته باشید.




