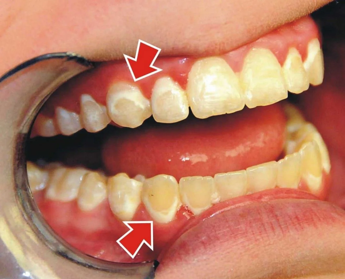
فلوروزیس، یا سفید شدن روی دندانها، یکی از مشکلات رایج دهانی است که بسیاری با آن مواجه میشوند. این عارضه میتواند به دلایل متعددی از جمله مصرف زیاد مواد قندی، نوشیدنیهای اسیدی، بهداشت نادرست دهان و دندان یا کمبود مواد معدنی رخ دهد. این بیماری معمولاً منجر به ظهور لکههای سفید یا قهوهای روی دندانها میشود. در صورت شناسایی زودهنگام لکههای سفید و درمان بهموقع، میتوان از بروز مشکلات جدیتر نظیر پوسیدگی دندان پیشگیری کرد.
بنابراین، بهتر است به دندانهایمان توجه بیشتری داشته باشیم و برای حفظ سلامت و زیبایی آنها، روالی درست و منظم را در پیش بگیریم. در این مقاله به بررسی علل، علائم و راههای درمان فلوروزیس دندانی میپردازیم.
علل سفید شدن روی دندانها
فلوراید یک ماده معدنی طبیعی است که به طور گستردهای در آب، مواد غذایی و محصولات بهداشتی مانند خمیر دندان و دهانشویهها یافت میشود. در مقادیر مناسب، فلوراید به جلوگیری از پوسیدگی دندانها کمک میکند. اما مصرف بیش از حد آن میتواند به فلوروزیس منجر شود. عوامل اصلی که باعث سفید شدن روی دندانها میشوند عبارتند از:
- مصرف آب آشامیدنی با فلوراید بالا: در برخی مناطق، آب آشامیدنی به طور طبیعی یا به دلیل افزودن فلوراید، حاوی مقادیر بالای فلوراید است.
- مصرف بیش از حد محصولات حاوی فلوراید: استفاده بیش از حد از خمیر دندانهای حاوی فلوراید و دهانشویهها.
- مکملهای فلوراید: مصرف مکملهای فلوراید بدون مشورت با پزشک میتواند منجر به فلوروزیس شود.
- مکملهای غذایی و دارویی: برخی مکملهای غذایی و دارویی حاوی فلوراید هستند که مصرف بیش از حد آنها میتواند خطرناک باشد.
علائم فلوئوروزیس دندانی
فلوئوروزیس دندانی به سه شکل خفیف، متوسط و شدید ظاهر میشود. علائم بسته به شدت فلوروزیس متفاوت است:
- فلوئوروزیس خفیف؛ معمولاً به صورت لکههای سفید روی دندانها ظاهر میشود. این لکهها ممکن است تنها بر روی سطوح بخصوصی از دندانها دیده شوند.
- فلوئوروزیس متوسط؛ علاوه بر لکههای سفید، ممکن است لکههای قهوهای کوچک نیز مشاهده شوند. سطوح دندانها ممکن است ناهموار شوند.
- فلوئوروزیس شدید هم شامل لکههای سفید بزرگ و لکههای قهوهای تیرهتر است. در موارد شدیدتر، ساختار دندانها ممکن است دچار خرابی شود و خطوط و ترکهای قابل مشاهدهای بر روی دندانها به وجود آید.
تشخیص فلوئوروزیس دندانی
تشخیص فلوئوروزیس دندانی عموماً توسط دندانپزشک صورت میگیرد. دندانپزشک با بررسی سابقه پزشکی و دندانپزشکی بیمار و معاینه دندانها میتواند این بیماری را تشخیص دهد. در برخی موارد، ممکن است نیاز به استفاده از ابزارهای تصویربرداری برای بررسی دقیقتر دندانها باشد.
مطلب پیشنهادی: سرطان دهان | سرطان دهان و لثه | علائم، علل و درمان
درمان فلوروزیس دندانی
درمان فلوروزیس دندانی بستگی به شدت بیماری دارد. روشهای مختلفی برای درمان و بهبود ظاهر دندانهای آسیبدیده وجود دارد. در موارد خفیف، میتوان از محصولات سفیدکننده دندان که حاوی مواد خاصی هستند استفاده کرد. این محصولات ممکن است به کاهش لکههای سفید کمک کنند.
درمانهای دندانپزشکی سفید شدن روی دندان
علاوه بر درمان های ساده و خانگی که در بالا ذکرشد، با مراجعه به یک پزشک متخصص میتوانید با روشهای زیر، دندانهایتان مانند قبل سفید و تمیز خواهدشد.
اگر قصد هرکدام از خدمات دندانپزشکی در کرمان را دارید، دکتر حسین گروهی بهعنوان بهترین ایمپلنتولوژیست و متخصص درمان ریشه دندان، برای انجام هرکدام از خدمات دندانپزشکی برای سفید کردن دندان و خدماتی از قبیل ایمپلنت، پولیش، باندینگ، بریج، پروتز و غیره بهترین انتخاب برای شما هستند.
پولیش دندان
این روش برای درمان لکه های سفید روی دندان از سطح خفیف تا متوسط مناسب است. در این روش، دندانپزشک با استفاده از مواد و ابزارهای مخصوص، سطح دندان را صاف و براق میکند و لکههای سفید را تا حد ممکن کمرنگ میسازد. این کار نه تنها ظاهر دندانها را بهبود میبخشد، بلکه به حفظ سلامت آنها نیز کمک میکند. پولیش دندان روشی ساده است که میتواند به آسانی لبخندمان را زیباتر کند.
مطلب پیشنهادی: اول فیلر لب انجام بدیم یا کامپوزیت دندان؟[توصیه متخصصان و نکات مهم]
ونیر؛ راهی ساده برای رفع لکه های سفید روی دندان
ونیرها لایههای نازکی از مواد پرسلن یا رزین کامپوزیتی هستند که روی سطح دندانها قرار میگیرند. این لایه علاوه بر پوشاندن لکههای سفید، به دندانها ظاهری زیبا و طبیعی میبخشد. ونیرها نه تنها مشکل زیبایی دندانها را حل میکنند، بلکه میتوانند به تقویت و محافظت از دندانها نیز کمک کنند. این روش درمانی مؤثر و دائمی است و لبخندی جذاب و بینقص را برایتان به ارمغان میآورد.
باندینگ دندان
باندینگ یکی از روشهای درمانی برای فلوئوروزیس، یا همان سفید شدن روی دندانها، است. در این روش، دندانپزشک از یک رزین کامپوزیتی همرنگ دندان روی دندانهای آسیبدیده استفاده میکند و آن را با نور خاصی بر روی سطح دندان میچسباند. این ماده پس از قرار گرفتن روی دندان، با نور مخصوصی سفت میشود و سپس به شکل و ظاهر دلخواه درآمده و صیقل داده میشود. باندینگ علاوه بر پوشاندن لکههای سفید، به دندانها ظاهری طبیعی و زیبا میبخشد و معمولاً برای ترمیمهای کوچک و متوسط مناسب است. این روش سریع، مقرون به صرفه و مؤثر است.
مطلب پیشنهادی:عوارض خمیر دندان سفید کننده | خمیردندان سفید کننده برای چه کسانی ممنوع است؟
تاج دندان
در موارد بسیار شدید که ساختار دندانها به شدت آسیب دیده است، ممکن است نیاز به استفاده از تاجهای دندانی باشد. تاجها کاملاً دندانهای آسیبدیده را پوشش میدهند و ظاهر و عملکرد آنها را بهبود میبخشند. در این روش، دندانپزشک یک پوشش کامل به نام تاج یا کراون را روی دندان قرار میدهد. این تاج که معمولاً از موادی مانند سرامیک یا فلز ساخته میشود، به طور کامل دندان را پوشش میدهد و علاوه بر پنهان کردن لکههای سفید، به دندان استحکام و زیبایی میبخشد.
تاج دندان نه تنها ظاهر دندان را بهبود میبخشد، بلکه از آن در برابر آسیبها و پوسیدگیهای بیشتر نیز محافظت میکند. این روش درمانی مؤثر و بادوام است.
پیشگیری از سفید شدن روی دندان
پیشگیری از فلوروزیس دندانی به ویژه در کودکان بسیار مهم است. برخی از اقدامات پیشگیرانه شامل موارد زیر است:
- کنترل مصرف فلوراید: والدین باید مصرف محصولات حاوی فلوراید را در کودکان خود کنترل کنند. همچنین از مصرف بیش از حد خمیر دندانهای حاوی فلوراید و دهانشویهها جلوگیری کنند.
- آب آشامیدنی: در مناطقی که آب آشامیدنی حاوی فلوراید بالاست، ممکن است نیاز به استفاده از آبهای معدنی یا فیلترهای خاص برای کاهش میزان فلوراید باشد.
- مشاوره با دندانپزشک: والدین باید با دندانپزشک خود در مورد نیاز یا عدم نیاز به مکملهای فلوراید مشورت کنند. دندانپزشک میتواند میزان مناسب فلوراید برای کودک را تعیین کند.
- آموزش به کودکان: آموزش به کودکان در مورد استفاده صحیح از خمیر دندان و عدم بلعیدن آن میتواند کمککننده باشد.
سخن پایانی
فلوروزیس دندانی یا همان سفید شدن روی دندان، یک بیماری قابل پیشگیری است که با مصرف متعادل فلوراید میتوان از آن جلوگیری کرد. در صورت بروز علائم و لکه های سفید یا تیره، حتما با یک دندانپزشک متخصص صحبت کنید. مشورت با دندانپزشک و استفاده از روشهای درمانی مناسب میتواند به بهبود ظاهر و سلامت دندانها کمک کند. همچنین والدین نقش مهمی در پیشگیری از این بیماری در کودکان خود دارند و باید به مصرف فلوراید و مراقبتهای دندانی توجه ویژهای داشته باشند.
دکتر حسین گروهی با سابقه درخشان و تجربیات متعددی که درزمینه انواع خدمات درمانی کسب کرده اند، بهعنوان بهترین و شناختهترین دندانپزشک متخصص در استان کرمان، آماده خدمترسانی به شما است. برای دریافت مشاوره، اطلاع از نحوه رزرو نوبت و انجام خدمات درمانی و دندانپزشکی، به سایت دکتر گروهی مراجعه کرده یا با شمارههای 09136595124 و 03432443299 تماس بگیرید.مجموعه دکتر گروهی ارائه دهنده ی تمامی خدمات دندانپزشکی از جمله ایمپلنت دیجیتال در کرمان و کامپوزیت در کرمان با روش های دیجیتالی و میکروسکوپی با جدیدترین متدها روز دنیا است.






