کامپوزیت دندان در جیرفت
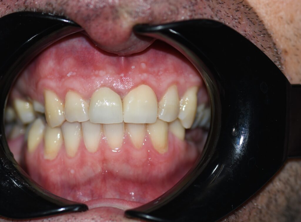
کامپوزیت مادهای از جنس رزین سفید است که ظاهری زیبا به دندانها و لبخندی جذاب به افراد هدیه میدهد. این روش نواقص دندان از جمله نامرتبی، زردی، شکستگی و… را برطرف میکند. امروزه کامپوزیت دندان بسیار رایج است و به دلیل قیمت ارزان و نتیجه عالی آن طرفداران زیادی دارد. کامپوزیت باید به صورت حرفهای و با استفاده از مواد با کیفیت انجام شود تا یک دهه ماندگاری داشته باشد. خوشبختانه دکتر گروهی کامپوزیت دندان در جیرفت را با بهترین کیفیت و قیمت منطقی و مناسب انجام میدهد. ایشان کامپوزیت دندان را با بهرهگیری از تکنولوژی دیجیتال اجرا میکنند. برای دریافت نوبت کامپوزیت جیرفت میتوانید از طریق دکمه رزرو نوبت اقدام کنید.

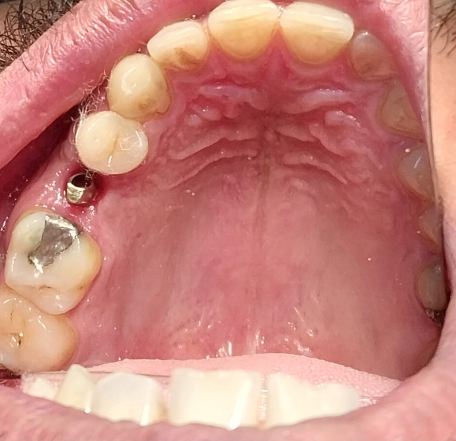
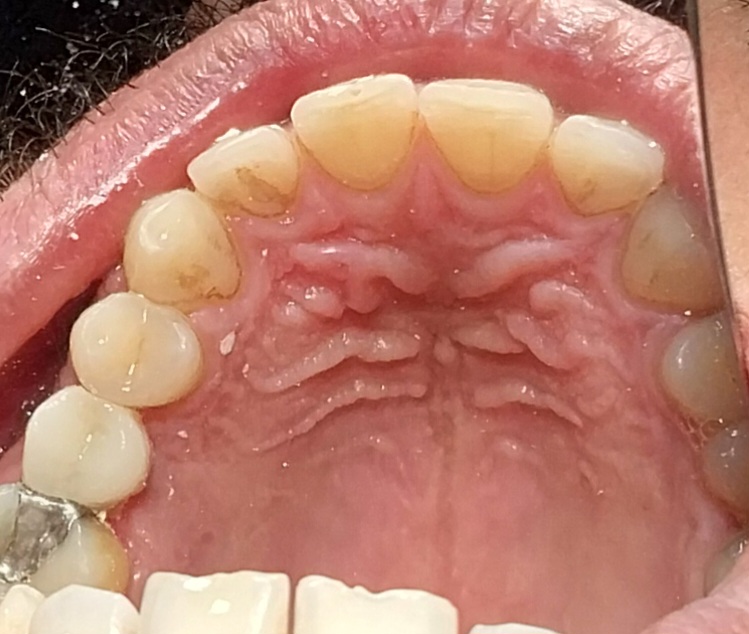
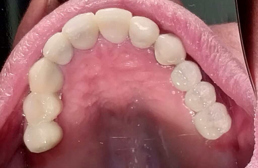
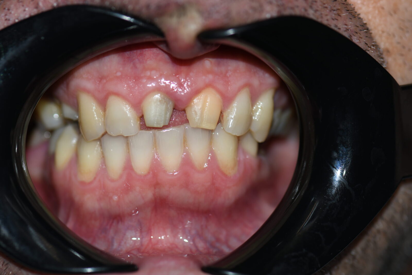
تفاوت را مقایسه کنید!
رضایت مراجعه کنندگان
درباره دکتر گروهی
دکتر حسین گروهی دندان پزشکی ، ایمپلنتولوژیست و متخصص درمان ریشه فارغ التحصیل سال 1393 از دانشگاه علوم پزشکی اصفهان می باشند. ایشان پس از پایان دوره ی دندانپزشکی به عنوان جراح دندانپزشک، به تحصیل در رشته ی تخصصی اندودانتیکس پرداختند و پس از آن در کورس های مختلف ایمپلنت و زیبایی جهت ارائه ی خدمات کامل تر به مراجعین خود نمودند.









چرا باید ما را انتخاب کنید ؟
اولین مرکز تمام دیجیتالی و تمام میکروسکوپی جنوب شرق کشور
بیش از 11 سال تجربه تخصصی در دندانپزشکی
گوش کردن فعال به صحبت های بیمار و راهنمایی دلسوزانه و صادقانه
پیشنهاد بهترین درمان و مسیر درمانی برای هر شخص به صورت منحصر به فرد
محیطی استریل، آرام و بدون استرس برای بیماران
انجام بی حسی بدون درد با دستگاه دیجیتال و دو تکنیک منحصر به فرد دکتر گروهی
استفاده از بروزترین و با کیفیت ترین وسایل و مواد ساخت کشورهای آلمان ، ژاپن ، کره جنوبی ، امریکا و سوئیس
رضایت بالای بیماران و نظرات مثبت
شرایط پرداخت اقساطی برای برخی خدمات
سوالات متداول مرتبط
کامپوزیت دندان چیست؟
کامپوزیت یک روش ترمیمی و زیبایی دندان است که به صورت یک لایه از مواد رزینی روی دندان قرار میگیرد و نواقص دندان اعم از زردی، شکستگی و… را رفع میکند.
آیا دکتر گروهی کامپوزیت دندان را در جیرفت انجام میدهند؟
بله یکی از خدمات ترمیمی و زیبایی دندان دکتر گروهی انجام کامپوزیت دندان در جیرفت است. دکتر گروهی کامپوزیت دندان را با بهترین کیفیت و مناسب ترین قیمت در شهر جیرفت انجام میدهند. برای دریافت نوبت میتوانید از طریق سایت دکتر گروهی اقدام نمایید یا با شماره 03432443299 تماس بگیرید تا اولین نوبت برای شما ثبت گردد.
قیمت کامپوزیت دندان در جیرفت چقدر است؟
قیمت کامپوزیت دندان در جیرفت به تعداد واحد مورد نیاز، نوع کامپوزیت و… بستگی دارد. برای کسب اطلاعات بیشتر با کلینیک دکتر گروهی تماس بگیرید.
آیا کامپوزیت دندان در جیرفت شامل بیمه میشود؟
کامپوزیت یک روش زیبایی محسوب میگردد و به همین دلیل شامل بیمه نخواهد شد. ممکن است برخی بیمه های تکمیلی بخشی از هزینه کامپوزیت دندان را بپردازند؛ برای کسب اطلاع در این زمینه با کارپرداز بیمه تکمیلی خود تماس بگیرید.
آیا کامپوزیت باعث پوسیدگی دندان میشود؟
کامپوزیت از مواد رزینی ساخته میشود. این مواد کاملا با دندان سازگار است و باعث پوسیدگی دندان نخواهد شد. برعکس کامپوزیت میتواند از دندان نیز به خوبی محافظت کند.
کامپوزیت یا ارتودنسی؟ کدام یک برای دندان های نامرتب بهتر است؟
کامپوزیت نواقص جزئی دندان را برطرف میکند، اما ارتودنسی برای دندان های شدیدا نامرتب و مشکلات فک و دندان مناسب است. دکتر گروهی با معاینه دندان های شما بهترین روش را به شما پیشنهاد خواهد داد.
طول عمر کامپوزیت دندان چقدر است؟
طول عمر کامپوزیت به طور متوسط 5 تا 7 سال است؛ با مراقبت از دندان، مسواک زدن و نخ دندان کشیدن، نخوردن مواد غذایی سفت و… ماندگاری کامپوزیت تا 10 سال یا بیشتر هم میتواند باشد.
کامپوزیت بهتر است یا لمینت؟
هر دو روش ترمیمی و زیبایی دندان است. لمینت مقاومت بهتری از کامپوزیت دارد، اما قیمت کامپوزیت ارزان تر است. با توجه به شرایط فردی و مشورت با دندانپزشک میتوانید بهترین روش را انتخاب نمایید.
آیا همه افراد میتوانند کامپوزیت دندان را انجام دهند؟
معمولا بیشتر افراد میتوانند کامپوزیت دندان را انجام دهند اما نظر نهایی را دندانپزشک پس از معاینه وضعیت دندانهای شما اعلام میکند.
کدام رنگ کامپوزیت مناسب تر است؟
انتخاب رنگ کامپوزیت با توجه به رنگ پوست و سلیقه شما انتخاب میشود. در این زمینه میتوانید در جلسه ویزیت با دکتر گروهی مشورت نمایید.
کامپوزیت دندان در جیرفت با بهترین مواد و هزینه
قیمت کامپوزیت دندان در جیرفت
در حال حاضر ( زمستان 1403) قیمت هر واحد کامپوزیت دکتر گروهی ....تومان می باشد. به طور کلی قیمت کامپوزیت دندان با توجه به نوع و جنس، تعداد واحد مورد نیاز، درمان های همزمان، نوع بیمه تکمیلی و... تعیین میشود. دکتر گروهی از مواد با کیفیت کامپوزیت استفاده میکند و قیمت کامپوزیت دندان توسط ایشان منطقی و مناسب است.
شاید بخواهید درباره پوشش بیمه کامپوزیت در جیرفت نیز اطلاعاتی کسب کنید. از آنجا که کامپوزیت دندان یک روش زیبایی محسوب میگردد، بیمه تامین اجتماعی آن را قبول نمیکند. اما برخی بیمه های تکمیلی هزینه کامپوزیت دندان را متقبل میشود. میتوانید با کارگزاری بیمه خود تماس بگیرید و در این رابطه اطلاعات بیشتری به دست آورید.
برای تعیین قیمت دقیق کامپوزیت با توجه به شرایط خود با کلینیک دکتر گروهی با شماره 03432443299 تماس بگیرید تا اولین جلسه ویزیت و مشاوره رایگان برای شما ثبت گردد. همچنین از طریق سایت دکتر گروهی نیز میتوانید نوبت بگیرید.
دکتر گروهی بهترین دندانپزشک کامپوزیت دندان در جیرفت
دکتر گروهی به عنوان بهترین دندانپزشک کامپوزیت در جیرفت، به نیازها و اهداف مراجعان از کامپوزیت فعالانه گوش میدهند. ایشان، کامپوزیت دندان را با کیفیت بالا و بهرهگیری از تکنولوژی دیجتال انجام میدهند. مراجعان رضایت کامل از خدمات دندانپزشکی دکتر گروهی در جیرفت دارند. مهارت دندانپزشک در اجرای کامپوزیت اهمیت زیادی دارد و نتیجه تخصص و تجربه ایشان تقارن دندان ها، زیبایی و تطابق کامپوزیت با فرم فک و دهان افراد است. دکتر حسین گروهی انتخابی مطمئن برای انجام کامپوزیت دندان در جیرفت، آماده ارائه خدمات متعدد دندانپزشکی به شما است. از طریق سایت دکتر گروهی یا از طریق تماس با شماره 0343244329 همین امروز میتوانید نوبت خود را ثبت نمایید.
کامپوزیت چیست؟
خیلی از افراد از ظاهر دندان خود راضی نیستند یا دوست دارند لبخندی زیباتر داشته باشند. کامپوزیت دندان روشی عالی برای رفع نواقص دندان از جمله نامرتبی جزئی، شکستگی، زردی و... است؛ کامپوزیت دندان میتواند شکل، رنگ و اندازه دندان ها را تغییر دهد و ظاهری جذاب به فرد هدیه دهد. منظور از کامپوزیت دندان لایه ای متشکل از مواد رزینی است که توسط دندانپزشک بر دندان قرار داده میشود. این ماده خمیری حفره ها و ناهمواری دندان را میپوشاند و خط لبخند را اصلاح میکند. کاپوزیت در مقایسه با لمینت دندان استحکام کمتری دارد، اما قیمت مناسب تری دارد و نیاز تراشیدن دندان با این روش برخلاف لمینت نیست.
انواع کامپوزیت دندان
کامپوزیت ماکروفیلد: این کامپوزیت به دانه درشت معروف است. ذرات آن حدود 10 تا 15 میکرومتر بزرگ تر و دارای ابعاد 10 تا 50 میکرومتر هستند. کامپوزیت ماکروفیلد به دلیل پولیش پذیری کم امروزه مورد استفاده قرار نمی گیرد و به عنوان روکش دندان بسیار بزرگ است.
کامپوزیت میکروفیلد: این کامپوزیت دانه ریز است. ذرات کامپوزیت دندان میکروفیلد ابعاد کمتر از 100 نانومتر دارند. این کامپوزیت پولیش پذیری بالایی دارد. از این نوع کامپوزیت دندان برای ترمیم دندان های جلویی استفاده می گردد.
کامپوزیت دندان بولک: کامپوزیت ونیر بولک از زیرکونیوم و سیلیس غیر تجمعی تولید شده است. ونیر بولک مقاومت کمی در برابر ساییدگی و تغییر رنگ دارد، اما ویژگی مثبت آن پر کردن عالی فضای بین دندان ها است.
کامپوزیت هیبرید: مقاوم و پولیش پذیر است. ابعاد ذرات این نوع کامپوزیت ونیر بین 10 تا 50 میکرومتر و و گاهی تا 40 نانومتر است. برای دندان های پیشین مورد استفاده قرار میگیرد. کامپوزیت هیبرید به مروز زمان ممکن است رنگ خود را از دست بدهد.
نانوکامپوزیت: نانوکامپوزیت نوع جدید کامپوزیت دندان است. نانوکامپوزیت ها ذراتی با ابعاد 20 نانومتر دارند. مقاومت بالا در مقابل ساییدگی، پولیش پذیری بالا و دوام و طول عمر زیاد از ویژگی های این نوع کامپوزیت است.
کامپوزیت دیجیتال دکتر گروهی در جیرفت
دکتر حسین گروهی کامپوزیت دندان را به روش دیجییتال و با بهرهگیری از سیستم های CAD/CAM انجام میدهند. به همین دلیل کامپوزیت دندان، بسیار دقیق و با ابعاد صحیح و کیفیت بالا اجرا میشود. نتیجه کامپوزیت دیجیتال دکتر گروهی، رضایت کامل افراد را جلب میکند. تفاوت کامپوزیت دیجتال با کامپوزیت سنتی، اسکن دندان ها و طراحی رایانهای کامپوزیت است. این روش سریع تر و دقیق تر از کامپوزیت سنتی است. آشنایی دکتر گروهی با فناوری های نوین و مهارت ایشان در استفاده از امکانات روز علم دندانپزشکی، رمز کامپوزیت بی نقص و عالی دندان های مراجعان عزیز است. برای آنکه لبخندی درخشان داشته باشید، کامپوزیت دیجیتال را نزد دکتر گروهی در جیرفت انجام بدهید. برای ثبت نوبت ویزیت با شماره 03432443299 تماس بگیرید.
مراحل انجام کامپوزیت دندان دکتر گروهی
- پس از ثبت نوبت، در روز تعیین شده به کلینیک دکتر گروهی مراجعه میکنید تا دکتر گروهی دندان ها شما را معاینه و بررسی کنند. در این جلسه نیازهای خود را از کامپوزیت دندان با دکتر گروهی در میان میگذارید.
- در صورتی که دکتر گروهی انجام کامپوزیت دندان برای شما را تایید کنند، عکس برداری سه بعدی انجام میگیرد و طراحی لبخند شما با توجه به خط و اصل چشمها ، موقعیت لب، وضعیت لثهها و سایز طبیعی دندانها با نرمافزار انجام میگیرد.
- پس از آن رنگ مناسب با پوست و سلیقه شما باید انتخاب شود، دکتر گروهی در این زمینه شما راهنمایی میکنید تا زیباترین طیف رنگی را انتخاب کنید.
- دکتر گروهی با دید سه بعدی حجم و لایه های کامپوزیت را تعیین میکند در نتیجه کامپوزیت بسیار دقیق اجرا میگردد.
- در مرحله اجرا سطح دندان ها تمیز میشود و مواد کامپوزیت با نور آبی، روی دندان سفت میشود.
دکتر گروهی پس از پایان اجرای کامپوزیت توصیه های مراقبتی لازم را با مراجعان عزیز در میان میگذارد.
مزایای کامپوزیت دیجیتال دکتر گروهی
- ترمیم نواقص دندان به نحوی عالی و با بهترین کیفیت انجام میگیرد.
- دقت بسیار بالا در طراحی و اجرای کامپوزیت با استفاده از تکنولوژی دیجیتال و سیستم های CAD/CAM
- کامپوزیت دیجیتال در کوتاه ترین زمان ممکن انجام میشود.
- حفظ بافت دندان یکی از مزایای عالی کامپوزیت دیجیتال است.
- کامپوزیت دیجتال دکتر گروهی قیمت مناسبی دارد.
- کامپوزیت دیجتال دکتر گروهی طبیعی تر از نوع سنتی کامپوزیت دیده میشود.
- با انجام روش دیجیتال کامپوزیت بیمار درد کمتری دارد و حساسیت دندان وی نیز کاهش مییابد.
دکتر حسین گروهی یک جراح و متخصص ریشه متعهد به ارائه خدمات تخصصی دندانپزشکی با تمرکز بر زیبایی و ایمپلنت است. دکتر گروهی به عنوان بهترین دندانپزشک کرمان و با بیش از 10سال تجربه در حوزه دندانپزشکی، به دنبال ارائه بهترین روش های درمانی با استفاده از تجهیزات دیجیتال و میکروسکوپی به منظور بهبود کیفیت درمان برای بیماران خود است.
خدماتی که توسط دکتر گروهی ارائه می شود:
































